Vés al contingut

Cerca a l'ICS Girona

El Trueta amplia als caps de setmana la neuroradiologia intervencionista per fer tractaments de teràpia endovascular a pacients amb un ictus isquèmic agut

pretractament.jpg
Publicat el: 12/06/2020
L’ampliació horària es va fer a l’inici de la pandèmia per evitar el trasllat de pacients fora de la Regió Sanitària

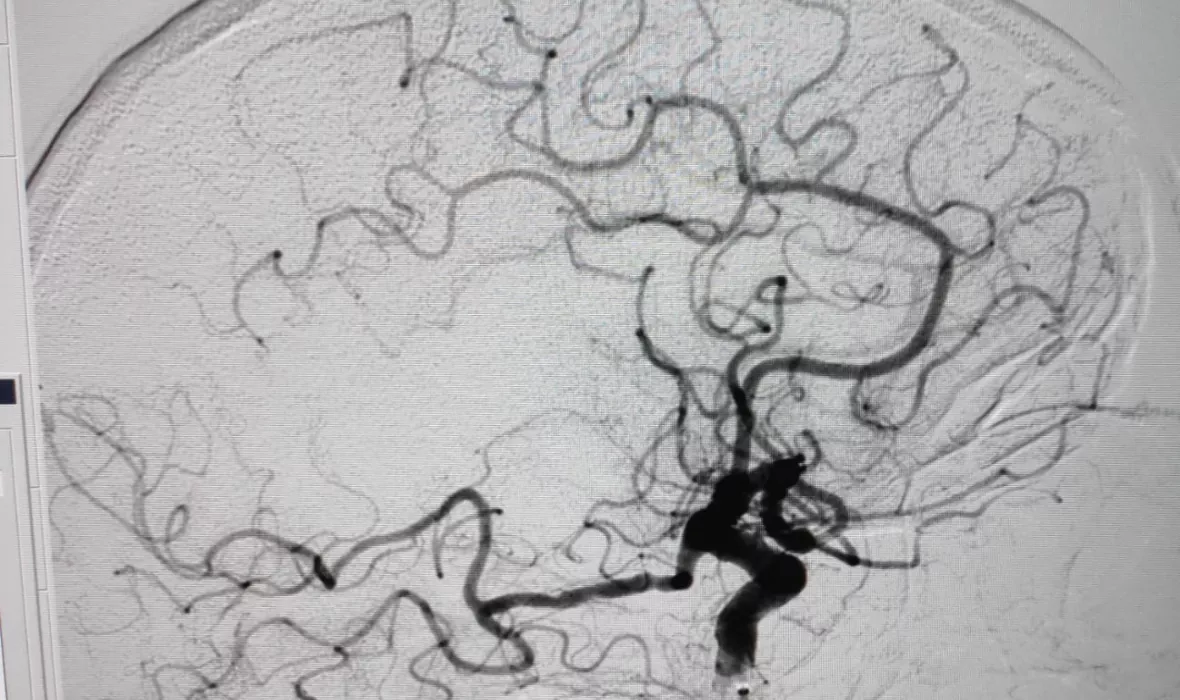
Els serveis de Neurologia, Radiologia (a càrrec de l'IDI) i Anestesiologia de l’Hospital Universitari de Girona Dr. Josep Trueta han ampliat l’horari d’atenció a pacients que han patit un ictus isquèmic agut amb oclusió arterial de gran vas per un trombe i amb tractaments de teràpia endovascular (trombectomies mecàniques), que ha passat de 12 h diàries els dies laborals (de 8 h a 20 h) a 12 h, els 365 dies de l’any. El procediment consisteix en la introducció d’un catèter en una artèria del pacient per arribar fins al coàgul que l’obstrueix –i que ha produït l’ictus– i poder-lo extreure. El procediment es va començar a fer de manera puntual l’octubre de 2018, però va ser a partir del 29 de setembre de 2019 que es va iniciar de manera continuada i en un horari fix. El 21 de març passat, just a plena pandèmia, es va decidir ampliar l’horari als caps de setmana i festius per evitar traslladar fora de la Regió Sanitària de Girona els pacients que requerien una trombectomia mecànica dins d’aquest horari. Si es produeix algun cas fora d’aquest horari, el pacient haurà de continuar essent derivat a l’Hospital Universitari Germans Trias i Pujol de Badalona.

Des que es va ampliar l’horari, el 21 de març, s’han fet 14 trombectomies, 7 de les quals han estat durant l’abril, el mes que ha acumulat més casos fins ara. Abans de l’ampliació horària s’havien fet 11 trombectomies durant aquest 2020 (des de l’1 de gener fins al 20 de març), 39 durant tot el 2019 i 8 durant el 2018. Aquests procediments es fan en una sala equipada amb tecnologia específica: la sala d’intervencionisme. En el 85 % dels 72 casos que s’han atès s’ha aconseguit una recanalització arterial cerebral i s’ha pogut extreure el trombe que ocloïa el vas.

Actualment, el Trueta compta amb dos metges especialitzats en el tractament endovascular de l’ictus isquèmic. La realització d’aquests procediments va a càrrec d’equips formats per un professional de Neurologia i un de Radiologia especialitzats, amb la col·laboració del Servei d’Anestesiologia i de professionals d’Infermeria especialitzada del Servei de Radiodiagnòstic, amb formació especifica i coordinats pels neuròlegs de la Unitat d’Ictus. El Servei de Neurologia de l’Hospital Trueta està treballant per acabar d’ampliar l’horari de l’accés a la trombectomia mecànica de l’ictus les 24 h/dia, els 365 dies/any, tan aviat com es disposi dels recursos humans necessaris i que aquests tinguin la formació per dur a terme aquest tipus d’intervencions. Així, aquest mes s’ha començat a formar una neuròloga més de l’equip per a completar l’Equip de Neurointervencionisme.

Seguint amb el desplegament del Pla estratègic de neurointervencionisme de Girona, enguany s’iniciarà la realització de procediments de més alta complexitat en pacients no urgents a l’Hospital Trueta, en col·laboració amb professionals de l’Hospital Germans Trías i Pujol, per tal d’evitar el desplaçament de pacients gironins a Barcelona.

L’ampliació de la carta de serveis amb l’assoliment d’aquest tipus de procediments fa que el Trueta, el centre de referència d’ictus a la Regió Sanitària de Girona, pugui assumir actualment qualsevol patologia isquèmica cerebral.  Això és gràcies al treball coordinat d’un equip multidisciplinari, liderat pel Servei de Neurologia, que fa possible l’accés a les teràpies endovasculars de l’ictus en la fase aguda en el nostre territori.

Image
Image
Image
Image
Hospital Trueta