Vés al contingut

Cerca a l'ICS Girona

dia mundial

Avui, 14 de març, és el Dia Mundial de l’Endometriosi, una malaltia que s’estima que pot afectar el 10 % de la població de dones en edat fèrtil La Unitat d’Endometriosi disposa d’una consulta monogràfica, situada al Centre Sanitari Güell, i d’una unitat funcional a l’Hospital Trueta que aborda els casos més greus, entre els quals hi ha els quirúrgics

Avui, 14 de març, és el Dia Mundial de l’Endometriosi, una malaltia inflamatòria crònica que es caracteritza pel creixement de teixit endometrial fora de la cavitat uterina. La prevalença de l’endometriosi és incerta. S’estima que pot afectar el  10 % de la població de dones en edat fèrtil –d’entre 15 i 49 anys. Les conseqüències més importants de l’endometriosi són el dolor intens i l’esterilitat, que es dona en entre un 30 i un 50 % dels casos.

La Direcció Clínica de Ginecologia i Obstetrícia de l’Institut Català de la Salut a Girona va posar en marxa, el maig de 2019, una unitat per tractar dones amb endometriosi i millorar el model d’atenció a aquestes pacients que hi havia fins aleshores. Els i les professionals de la Direcció Clínica han atès, en els darrers tres anys, 253 pacients noves i han fet 62 intervencions quirúrgiques a dones que patien aquesta patologia.

La Unitat disposa des de maig de 2019 de la Consulta Monogràfica d'Endometriosi, al Centre Güell, i de  la Unitat Funcional d'Endometriosi de l'Hospital Universitari de Girona Doctor Josep Trueta. La consulta específica de l’Atenció a la Salut Sexual i Reproductiva (ASSIR) del Gironès-Pla de l’Estany, situada al Centre Sanitari Güell, està formada per un equip de professionals especialistes en aquesta malaltia: tres ginecòlogues, dues llevadores i una psicòloga.

Durant el 2019 s’hi van atendre 75 noves pacients i es van fer un total de 139 visites. El 2020 a la Consulta Monogràfica ja es va atendre un total de 67 pacients noves i, en total, s’hi van realitzar 317 visites. L’any passat, el nombre de pacients de primera visita va pujar a 110 i es van realitzar 298 visites, entre primeres i successives.

Cal tenir present que l’endometriosi és un malaltia que té un gran impacte psico-social. El fet de viure amb un dolor continuat pot provocar quadres d’incomprensió, sentiment de culpa i d’incapacitat, baixa autoestima, ansietat i depressió. És important l’abordatge psicològic per evitar quadres greus de depressió i ansietat. L’any passat, 12 de les dones ateses van haver de rebre atenció psicològica.

D’altra banda, la Unitat Funcional d’Endometriosi del Trueta tracta els casos més complexos i que requereixen un abordatge quirúrgic. Aquesta Unitat és de referència a la Regió Sanitària Girona. Compta amb les mateixes ginecòlogues, a més d’altres especialistes ―com ara professionals de cirurgia coloproctològica, urologia i radiologia, de la Unitat del Dolor, etc., a més d’especialistes en reproducció assistida per als casos en què hi ha vinculada una esterilitat.

Durant el 2019 es van operar d’endometriosi un total de 24 pacients; l’any 2020 la xifra va davallar fins a 12 pacients (per l’impacte de la pandèmia), mentre que el 2021 es va recuperar la normalitat i es van operar 21 pacients. En aquests primers mesos de l’any s’han intervingut 5 pacients per endometriosi.

Un dels objectius del nou model, que es va posar en marxa el 2019, és diagnosticar la malaltia tan aviat com sigui possible. És per aquest motiu que també es va potenciar la formació entre professionals de medicina familiar i comunitària, per tal que ajudessin en la identificació dels possibles casos i que els derivessin a l’equip especialitzat en endometriosi de l’ASSIR, on les pacients són ateses a la Consulta Monogràfica d’Endometriosi. Els casos més greus acaben derivats a la Unitat Funcional d’Endometriosi de l’Hospital Universitari de Girona Doctor Josep Trueta, ja sigui des de la Consulta Monogràfica d’Endometriosi, des dels hospitals comarcals o des d’altres especialitats del mateix Hospital Trueta.

La criopreservació d’ovòcits

Les pacients que pateixen endometriosi han de recórrer freqüentment a intervencions quirúrgiques per a l’extirpació de quists. Aquestes operacions poden repercutir en una disminució de la presència d’ovòcits i és possible que això derivi en una esterilitat. És per aquest motiu que també es fa preservació dels ovòcits en l’abordatge de les pacients amb endometriosi. Així, en cas que professionals de la Unitat Funcional d’Endometriosi prevegin que una intervenció quirúrgica pot afectar la fertilitat de la pacient i si aquesta compleix uns certs criteris, es valora conjuntament amb ella la preservació d’ovòcits per a una futura reproducció assistida.

 L’endometriosi

L’endometriosi és una malaltia inflamatòria dependent dels estrògens, d’origen desconegut. Es defineix com la implantació i el creixement benignes de teixit endometrial fora de la cavitat uterina. Les localitzacions afectades més freqüentment són el peritoneu pelvià i els ovaris, encara que de vegades poden trobar-se lesions en moltes altres parts del cos, sobretot a la regió pelviana, com ara el budell o la bufeta urinària. En casos molt excepcionals pot afectar altres localitzacions no abdominals, com el cervell o els pulmons, entre d’altres. Aquest teixit ectòpic té dependència hormonal del cicle menstrual i es produeix sagnat i el despreniment d’aquest teixit durant la menstruació. El teixit de l’endometri té capacitat per créixer, infiltrar i, fins i tot, estendre’s de forma similar al teixit tumoral però la seva transformació maligna és molt infreqüent.

Gairebé la meitat de dones que pateixen endometriosi (47 %) en presenta símptomes en l’etapa de la joventut, abans de complir els 20 anys. No obstant això, aquesta malaltia sol ser diagnosticada amb anys de retard atès, en part, a la normalització de l’acceptació del dolor durant la menstruació o a l’ús del tractament farmacològic per al dolor, amb l’omissió de les proves adequades per fer-ne un bon diagnòstic.

Els tractaments mèdics i/o quirúrgics poden millorar el dolor, principal símptoma de la malaltia, i, en conseqüència, millorar la qualitat de vida de les dones que pateixen endometriosi.

Image
Image
El 30 de maig es va celebrar el Dia Mundial d’aquesta malaltia, que compta amb un miler pacients a la nostra demarcació, amb 35 casos nous cada any La Unitat de Neuroimmunologia i Esclerosi Múltiple Territorial de Girona atén el 85% dels pacients de la Regió

S’estima que a la Regió Sanitària Girona hi ha prop d’un miler de persones afectades d’esclerosi múltiple, més del 85% de les quals se segueixen a la Unitat de Neuroimmunologia i Esclerosi Múltiple Territorial de Girona (UNIEMTG). Cada any es diagnostiquen entre 35 i 40 nous casos a la Regió Sanitària Girona. Des que va esclatar la pandèmia, la UNIEMTG ha registrat un total de 63 pacients amb esclerosi múltiple contagiats per SARS-CoV2. El 70% de les persones diagnosticades van ser simptomàtiques, però la majoria d’elles amb simptomatologia lleu. Van requerir ingrés hospitalari quatre persones, cap de les quals va ingressar a Crítics. Els símptomes més freqüents que van presentar van ser febre, cefalea i fatiga. En cap cas s’ha associat la infecció i la seva gravetat al tipus d’esclerosi múltiple ni als tractaments immunomoduladors dels pacients, sinó que els factors vinculants han estat els habituals en la SARS-CoV-2, com ara l’edat, malalties cardíaques i respiratòries prèvies i hipertensió arterial.

Durant aquest temps, s’han fet més de 500 PCR i més de 250 serologies als pacients amb esclerosi múltiple. També s’han vacunat a la UNIEMTG ―amb el vaccí de Moderna, administrat a l’Hospital Universitari de Girona Dr. Josep Trueta― 520 pacients, fins ara. La resta de pacients es vacunen a l’atenció primària o, si es considera necessari, a l’hospital (al Trueta o a Figueres).

La pandèmia també ha impactat en el model de visites dels pacients amb esclerosi múltiple. En els moments de màxima incidència de la COVID-19 el 90% d’aquestes visites es van fer de forma telemàtica (videoconsultes o teleconsultes) i només el 10% van ser  presencials, principalment, per casos de brots greus, administració ineludible de tractaments endovenosos i primeres visites. D’aquesta manera, es va poder mantenir el contacte, el seguiment i la continuïtat assistencials dels pacients. Posteriorment, i a mesura que la situació epidemiològica va millorar, es van anar fent més visites presencials seguint les normatives de seguretat adequades. Actualment es combina la visita presencial amb la telemàtica, reservada per a consultes i dubtes de pacients estables, però assegurant, com a mínim, una visita presencial anual. També es fan visites presencialment sempre que el pacient ho vol, quan hi ha inestabilitat de la malaltia i en el cas de primeres visites, visites diagnòstiques, de decisió terapèutica o d’inici de tractaments. Es decideix conjuntament entre el pacient i els professionals de la UNIEMTG la modalitat de visita que és més adequada en cada moment. Així, des de l’inici de la pandèmia, s’han fet més de 2.600 consultes telemàtiques amb els pacients.

Durant els darrers anys, des de la UNIEMTG s’ha fet una important tasca per definir el procés assistencial de l’esclerosi múltiple i integrar-lo a l’Estació clínica de treball SAP. És un projecte liderat per l’equip de professionals de Girona que, un cop acabat, servirà per a tots els hospitals de l’Institut Català de la Salut. Es va començar a treballar en aquest procés assistencial el maig 2018, però l’arribada de la pandèmia, amb la consegüent reducció de la presencialitat a les consultes, va permetre donar un impuls al projecte. Actualment, hi ha 773 pacients inclosos en el procés, amb més de 55.000 dades estructurades.

Què és l’esclerosi múltiple?

L'esclerosi múltiple és una malaltia del sistema nerviós central que afecta el cervell, la medul·la espinal i els nervis òptics. Aquesta malaltia, que el passat 30 de maig va commemorar el seu Dia Mundial, afecta tant la mielina que envolta les neurones (i que facilita la conducció dels impulsos nerviosos) com les neurones mateixes. Això fa que la informació que es genera al cervell i que va cap als nervis s'interrompi i aquest fet produeix l'aparició dels símptomes de la malaltia. És una malaltia neurodegenerativa de mecanisme autoimmunitari i causa desconeguda, en la qual tant els factors ambientals com els genètics, no ben coneguts encara avui dia, hi tenen el seu paper.

La prevalença de la malaltia en el nostre entorn és alta i s'està detectant un augment dels casos en els darrers estudis realitzats. Es calcula que hi ha 2,5 milions de pacients arreu del món, 47.000 persones a l’Estat espanyol i 7.000 a Catalunya. La discapacitat, tant física com cognitiva, que es pot derivar de la malaltia té una enorme influència en la vida dels pacients i les seves famílies. L’esclerosi múltiple és actualment la causa més freqüent de discapacitat neurològica en adults joves. Afecta tres vegades més dones que homes. Es diagnostica entre els 20 i 40 anys d’edat, quan les persones comencen el seu projecte vital tant des del punt de vista personal, laboral i familiar, com des del social.

La Unitat de Neuroimmunologia i Esclerosi Múltiple Territorial de Girona del Servei de Neurologia, ubicada a l’Hospital de Santa Caterina des del juliol de 2016, està integrada per un equip interdisciplinari expert format per professionals de neurologia, infermeria, neuropsicologia, psicologia, d’investigació bàsica i personal de suport. Ofereix un tractament integral de les persones afectades i les seves famílies, juntament amb l’equip rehabilitador de l’Hospital de Dia de Malalties Neurodegeneratives i Dany Cerebral Adquirit de l’Hospital de Santa Caterina i la Fundació Esclerosi Múltiple, que estan ubicades en el mateix edifici i que treballen en estreta relació amb la Unitat.

Image
Image
Image
La més coneguda és l’Esclerosi Lateral Amiotròfica, una malaltia poc freqüent però amb un gran impacte per al pacient i la seva família, de la qual avui 21 de juny se celebra el Dia Mundial

L’Hospital Universitari de Girona Doctor Josep Trueta ha atès 43 pacients durant el primer any de funcionament de la Unitat funcional multidisciplinària per tractar malalties de la neurona motora, que es va posar en marxa la primavera de 2019. La més freqüent d’aquest tipus de patologies és l’Esclerosi Lateral Amiotròfica (ELA), una malaltia de la qual avui 21 de juny se celebra el Dia Mundial. Es tracta d’una malaltia amb molt baixa incidència, ja que es diagnostiquen 3 casos per cada 100.000 habitants i any.

Des que es va posar en marxa la unitat s’han realitzat 426 visites, les quals han estat tan presencials com telefòniques i telemàtiques, especialment durant la pandèmia de Coronavirus SARS-CoV-2. Els professionals han fet una mitjana de deu visites per a cada pacient durant aquest any. Els pacients atesos a la Unitat Funcional de malalties de la neurona motora tenen una mitjana d'edat de 65 anys, i en el 53,5% són dones i el 46,5% homes.

Les malalties de la neurona motora constitueixen un grup de malalties amb evolucions variables. Es caracteritzen per una baixa incidència, una alta complexitat de cures i que tenen gran impacte per al pacient i el seu entorn: tant a l’esfera personal, com familiar i social. Aquest tipus de malalties solen aparèixer després dels 50 anys. Actualment no hi ha cap tractament curatiu d’aquest tipus de malalties. La més freqüent és l’ELA, una greu malaltia neurològica que va lligada a una progressiva degeneració de les neurones motores, que són les que controlen el moviment voluntari del músculs, com ara els responsables de la parla, de caminar, deglutir i fins i tot respirar. Normalment els músculs es debiliten i s’atrofien, i els moviments es tornen rígids, estranys i maldestres.

La Unitat funcional específica per a les malalties de la neurona motora es va posar en marxa per la voluntat de donar resposta a les necessitats dels pacient i familiars d’una manera més coordinada i facilitadora per a ells i també per a l’equip assistencial. La unitat està formada per professionals de diferents disciplines: cinc metges/metgesses de diferents especialitats -Neurologia, Pneumologia, Endocrinologia i Neurofisiologia clínica-, personal d’infermeria –una infermera especialitzada en Pneumologia i la infermera gestora, un especialista en fisioteràpia respiratòria i dues dietistes; a part d’estar amb estret contacte amb rehabilitadors, psicòlegs, assistència primària, PADES i els altres diferents centres assistencials de la Regió Sanitària de Girona. La Unitat també ha suposat una millora per als professionals a l’hora de treballar en equip, ja que els ha permès tenir una millor comunicació i una millor gestió dels recursos sanitaris. La Unitat funcional d’ELA està operativa un dia al mes.

La característica principal de les Unitats Funcionals és que el pacient no ha de recórrer diferents llocs per tal que el visitin diferents especialistes, sinó que disposa d’una única porta d’accés que és compartida per professionals de diferents disciplines. Això suposa que els diferents especialistes implicats en el procés assistencial visiten el pacient al mateix espai i de forma coordinada. Les decisions clíniques sobre el diagnòstic i tractament es prenen conjuntament en el mateix moment, fet que facilita que des de la primera visita s’agilitzin els circuits assistencials i es redueixin els temps entre el diagnòstic i l’inici del tractament.

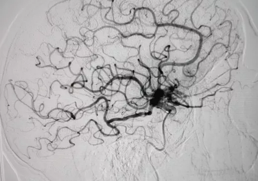
Des d’aquest mes es realitzen trombectomies mecàniques de manera regular, tot i que fa un any que es van començar a fer

Aquest any se n’han fet 36, amb uns resultats molt satisfactoris

Professionals dels serveis de Neurologia i de Radiologia de l’Hospital Universitari Dr. Josep Trueta han començat a fer de manera regular tractaments amb teràpia endovascular (trombectomies mecàniques) a pacients que han patit un ictus isquèmic agut amb oclusió arterial de gran vas per un trombe. Aquest procediment consisteix en la introducció d’un catèter en una artèria del pacient per arribar fins al coàgul que l’obstrueix –i que ha produït l’ictus– i poder-lo extreure. Malgrat que aquest procediment es va començar a fer de manera puntual l’octubre de l’any passat, des d’aquest mes el procediment es fa de manera continuada, en horari de 8 a 20 h de dilluns a divendres. Si es produeix algun cas fora d’aquest horari, el pacient haurà de continuar essent derivat a algun centre de Barcelona, tal i com es feia amb tots els casos que hi havia fins que es va iniciar l’activitat al Trueta.

Aquests procediments es fan en una sala equipada amb tecnologia específica: la sala de radiologia intervencionista. Des del 3 d’octubre de 2018, dia en què es va atendre el primer cas al Trueta, que era també el primer pacient tractat amb teràpia endovascular fora de la demarcació de Barcelona, han entrat a la sala de radiologia intervencionista un total de 41 pacients, dels quals a 37 se’ls ha fet una trombectomia mecànica. En el 86 % dels casos s’ha aconseguit una recanalització arterial i s’ha pogut extreure el trombe que ocloïa el vas. El 29 de setembre passat es va estrenar el nou horari del servei, 12 hores diàries de dilluns a divendres, cosa que converteix el Trueta en l’Hospital de fora de l’àrea metropolitana de Barcelona amb un horari de cobertura més gran.

L’ampliació de la carta de serveis amb l’assoliment d’aquest tipus de procediments fa que el Trueta, el centre de referència d’ictus a la Regió Sanitària Girona, pugui assumir actualment qualsevol patologia isquèmica cerebral. S’estima que, amb aquesta ampliació horària, es realitzaran uns 70-80 tractaments amb teràpia endovascular a l’any, i que uns 50 casos hauran de continuar sent derivats a Barcelona, atès que han succeït de 20 h a 8 h o en cap de setmana.

Comparat amb la resta de centres que realitzen aquest tractament endovascular de l’ictus isquèmic agut, durant l’any 2019 el Trueta és l’Hospital de Catalunya amb els millors resultats pel que fa al temps transcorregut entre la punció i la recanalització arterial; és a dir, el temps transcorregut entre l’inici del tractament i l’extracció efectiva del trombe. Així, al Trueta aquest procediment tarda una mitjana de 37 minuts, mentre que la mitjana de Catalunya és de 50 minuts. A més a més, l’accés a aquesta teràpia des de l’inici dels símptomes és de 169 minuts, per sota de la mitjana de Catalunya que és de 190 minuts.

Per a l’inici d’aquest procediment ha estat clau la incorporació de la realització d’arteriografies cerebrals al Trueta, a finals de 2017, que va obrir la porta a la possibilitat de poder fer neurointervencionisme. També ha estat necessari formar professionals del Servei de Neurologia en neurointervencionisme. Actualment, el Trueta compta amb dos intervencionistes especialitats en el tractament endovascular de l’ictus isquèmic. La realització d’aquests procediments va a càrrec d’equips formats per un professional de neurologia i un de radiologia especialitzats en neurointervencionisme, amb la col·laboració del Servei d’Anestèsia i de professionals d’infermeria especialitzada del Servei de Radiodiagnòstic amb formació especifica.

Commemoració del Dia Mundial de l’Ictus

Demà, 29 d’octubre, es commemora el Dia Mundial de l’Ictus i, com és habitual en els darrers anys, professionals del Trueta han avançat a avui la celebració. Un any més, han fet formació sobre la malaltia i han realitzat ecografies de Doppler per comprovar l’estat de les artèries de tothom qui hi ha estat interessat. En total, s’han realitzat 117 proves, el resultat de les quals pot indicar un factor que predisposi a patir la malaltia. Professionals d’infermeria també han mesurat la pressió arterial i la glucèmia a qui ho ha volgut i s’han donat recomanacions de mesures preventives, com són fer exercici físic moderat, mantenir una dieta sana i equilibrada baixa en sal i greixos, i evitar de fumar.

A més, aquest any, la Unitat d’Ictus de l’Hospital en col·laboració amb l’Associació d’Ictus de Girona i l’Hospital Sociosanitari Mutuam Girona han organitzat avui tallers de ioga, d’origami, de disfàgia i del mètode Ronney Gardiner per a pacients que han patit un ictus, a més de la conferència “La Música com a eina terapèutica: el ritme per al cos i les cançons per al llenguatge. Experiències d'una Unitat Neurològica Integral", a càrrec de Samira González, fisioterapeuta de l’Hospital Sociosanitari Mutuam Girona.

L’ictus, segona causa de mort i primera d’invalidesa

Es calcula que una de cada sis persones patirà un ictus al llarg de la seva vida. Cada any, 1.700 gironins pateixen un infart cerebral, i només el 50 % arriben a l’Hospital dins les primeres sis hores des de l’inici de l’afectació. Els signes que ens han de fer pensar en un probable ictus i demanar ajuda sanitària immediatament (trucant al 061) són la pèrdua de força o de sensibilitat de manera sobtada a la cara, un braç i/o una cama d’un costat del cos; la pèrdua sobtada de visió d’un ull; la dificultat per parlar o entendre, i un intens i sobtat mal de cap.

Segons dades de l’Organització Mundial de la Salut, la malaltia cerebrovascular representa la segona causa de mort i la primera d’invalidesa en els adults dels països occidentals. A l’Estat espanyol és la primera causa de mortalitat entre les dones i representa el principal motiu d’incapacitat, ja que la majoria de pacients pateix seqüeles que, en el 40 % dels casos, els inhabiliten per fer les seves activitats quotidianes. Cal tenir present que un de cada sis ictus ocorren en persones joves. Des dels punts de vista sanitari i econòmic, l’ictus és una afectació de primera magnitud. Representa el 70 % del total d’ingressos de caràcter neurològic i suposa al voltant d’un 5 % de la despesa sanitària. No obstant això, hi ha dades esperançadores, ja que en els darrers anys la mortalitat ha disminuït gràcies als treballs de prevenció i detecció precoç, així com a les millores en l'atenció hospitalària als pacients en les unitats d'ictus i al desenvolupament de tractaments aplicats durant les primeres hores, com la trombòlisi i els nous procediments d'extracció de trombes.

L’Hospital Trueta és el centre de referència pel que fa al tractament de l'ictus a la Regió Sanitària Girona. El Servei de Neurologia atén més de 1.300 ictus cada any, dels quals necessiten ingressar a la Unitat d’Ictus més de 600 pacients. Un 70 % d’aquests pacients són autònoms al cap de tres mesos. Els fàrmacs recanalitzadors són els que han mostrat ser més eficaços en el tractament de l’infart cerebral en les primeres hores, i a l'Hospital Trueta s'administren de forma habitual. Aquest tractament consisteix en l’intent de dissolució o extracció del trombe que ha clos l’artèria i que dificulta la correcta circulació cerebral. El tractament es pot realitzar als pacients en qui no té contraindicació i que arriben als centres hospitalaris dins les primeres 3-6 hores següents a l’inici dels símptomes de l’ictus; en casos seleccionats, fins a les 9-24 hores posteriors. El subministrament d’aquest tractament permet que en el 51 % dels casos els pacients siguin asimptomàtics al cap de 3 mesos d’haver patit l’infart cerebral. És molt important insistir que, com més aviat aconsegueixi arribar el pacient a l'Hospital, més gran és la probabilitat que pugui ser tractat i que pugui recuperar-se.

La sala de radiologia intervencionista durant la realització d'una trombectomia mecànica a un pacient que havia patit un ictus isquèmic.

En aquestes dues imatges, podem veure com queda afectada la circulació arterial arran d'un ictis isquèmic i com es recupera després del tractament endovascular.

Imatges dels actes dels professionals del servei de Neurologia realitzant ecografies de doppler i donant consells de salut, avui al vestíbul del Trueta.

  

Image
Image
Image
Image
Image
Image
Image