Vés al contingut

Cerca a l'ICS Girona

El Trueta amplia a 12 hores al dia la neuroradiologia intervencionista per fer tractaments de teràpia endovascular a pacients que han patit un ictus isquèmic agut

pre.jpeg
Publicat el: 28/10/2019

Des d’aquest mes es realitzen trombectomies mecàniques de manera regular, tot i que fa un any que es van començar a fer

Aquest any se n’han fet 36, amb uns resultats molt satisfactoris

Professionals dels serveis de Neurologia i de Radiologia de l’Hospital Universitari Dr. Josep Trueta han començat a fer de manera regular tractaments amb teràpia endovascular (trombectomies mecàniques) a pacients que han patit un ictus isquèmic agut amb oclusió arterial de gran vas per un trombe. Aquest procediment consisteix en la introducció d’un catèter en una artèria del pacient per arribar fins al coàgul que l’obstrueix –i que ha produït l’ictus– i poder-lo extreure. Malgrat que aquest procediment es va començar a fer de manera puntual l’octubre de l’any passat, des d’aquest mes el procediment es fa de manera continuada, en horari de 8 a 20 h de dilluns a divendres. Si es produeix algun cas fora d’aquest horari, el pacient haurà de continuar essent derivat a algun centre de Barcelona, tal i com es feia amb tots els casos que hi havia fins que es va iniciar l’activitat al Trueta.

Aquests procediments es fan en una sala equipada amb tecnologia específica: la sala de radiologia intervencionista. Des del 3 d’octubre de 2018, dia en què es va atendre el primer cas al Trueta, que era també el primer pacient tractat amb teràpia endovascular fora de la demarcació de Barcelona, han entrat a la sala de radiologia intervencionista un total de 41 pacients, dels quals a 37 se’ls ha fet una trombectomia mecànica. En el 86 % dels casos s’ha aconseguit una recanalització arterial i s’ha pogut extreure el trombe que ocloïa el vas. El 29 de setembre passat es va estrenar el nou horari del servei, 12 hores diàries de dilluns a divendres, cosa que converteix el Trueta en l’Hospital de fora de l’àrea metropolitana de Barcelona amb un horari de cobertura més gran.

L’ampliació de la carta de serveis amb l’assoliment d’aquest tipus de procediments fa que el Trueta, el centre de referència d’ictus a la Regió Sanitària Girona, pugui assumir actualment qualsevol patologia isquèmica cerebral. S’estima que, amb aquesta ampliació horària, es realitzaran uns 70-80 tractaments amb teràpia endovascular a l’any, i que uns 50 casos hauran de continuar sent derivats a Barcelona, atès que han succeït de 20 h a 8 h o en cap de setmana.

Comparat amb la resta de centres que realitzen aquest tractament endovascular de l’ictus isquèmic agut, durant l’any 2019 el Trueta és l’Hospital de Catalunya amb els millors resultats pel que fa al temps transcorregut entre la punció i la recanalització arterial; és a dir, el temps transcorregut entre l’inici del tractament i l’extracció efectiva del trombe. Així, al Trueta aquest procediment tarda una mitjana de 37 minuts, mentre que la mitjana de Catalunya és de 50 minuts. A més a més, l’accés a aquesta teràpia des de l’inici dels símptomes és de 169 minuts, per sota de la mitjana de Catalunya que és de 190 minuts.

Per a l’inici d’aquest procediment ha estat clau la incorporació de la realització d’arteriografies cerebrals al Trueta, a finals de 2017, que va obrir la porta a la possibilitat de poder fer neurointervencionisme. També ha estat necessari formar professionals del Servei de Neurologia en neurointervencionisme. Actualment, el Trueta compta amb dos intervencionistes especialitats en el tractament endovascular de l’ictus isquèmic. La realització d’aquests procediments va a càrrec d’equips formats per un professional de neurologia i un de radiologia especialitzats en neurointervencionisme, amb la col·laboració del Servei d’Anestèsia i de professionals d’infermeria especialitzada del Servei de Radiodiagnòstic amb formació especifica.

Commemoració del Dia Mundial de l’Ictus

Demà, 29 d’octubre, es commemora el Dia Mundial de l’Ictus i, com és habitual en els darrers anys, professionals del Trueta han avançat a avui la celebració. Un any més, han fet formació sobre la malaltia i han realitzat ecografies de Doppler per comprovar l’estat de les artèries de tothom qui hi ha estat interessat. En total, s’han realitzat 117 proves, el resultat de les quals pot indicar un factor que predisposi a patir la malaltia. Professionals d’infermeria també han mesurat la pressió arterial i la glucèmia a qui ho ha volgut i s’han donat recomanacions de mesures preventives, com són fer exercici físic moderat, mantenir una dieta sana i equilibrada baixa en sal i greixos, i evitar de fumar.

A més, aquest any, la Unitat d’Ictus de l’Hospital en col·laboració amb l’Associació d’Ictus de Girona i l’Hospital Sociosanitari Mutuam Girona han organitzat avui tallers de ioga, d’origami, de disfàgia i del mètode Ronney Gardiner per a pacients que han patit un ictus, a més de la conferència “La Música com a eina terapèutica: el ritme per al cos i les cançons per al llenguatge. Experiències d'una Unitat Neurològica Integral", a càrrec de Samira González, fisioterapeuta de l’Hospital Sociosanitari Mutuam Girona.

L’ictus, segona causa de mort i primera d’invalidesa

Es calcula que una de cada sis persones patirà un ictus al llarg de la seva vida. Cada any, 1.700 gironins pateixen un infart cerebral, i només el 50 % arriben a l’Hospital dins les primeres sis hores des de l’inici de l’afectació. Els signes que ens han de fer pensar en un probable ictus i demanar ajuda sanitària immediatament (trucant al 061) són la pèrdua de força o de sensibilitat de manera sobtada a la cara, un braç i/o una cama d’un costat del cos; la pèrdua sobtada de visió d’un ull; la dificultat per parlar o entendre, i un intens i sobtat mal de cap.

Segons dades de l’Organització Mundial de la Salut, la malaltia cerebrovascular representa la segona causa de mort i la primera d’invalidesa en els adults dels països occidentals. A l’Estat espanyol és la primera causa de mortalitat entre les dones i representa el principal motiu d’incapacitat, ja que la majoria de pacients pateix seqüeles que, en el 40 % dels casos, els inhabiliten per fer les seves activitats quotidianes. Cal tenir present que un de cada sis ictus ocorren en persones joves. Des dels punts de vista sanitari i econòmic, l’ictus és una afectació de primera magnitud. Representa el 70 % del total d’ingressos de caràcter neurològic i suposa al voltant d’un 5 % de la despesa sanitària. No obstant això, hi ha dades esperançadores, ja que en els darrers anys la mortalitat ha disminuït gràcies als treballs de prevenció i detecció precoç, així com a les millores en l'atenció hospitalària als pacients en les unitats d'ictus i al desenvolupament de tractaments aplicats durant les primeres hores, com la trombòlisi i els nous procediments d'extracció de trombes.

L’Hospital Trueta és el centre de referència pel que fa al tractament de l'ictus a la Regió Sanitària Girona. El Servei de Neurologia atén més de 1.300 ictus cada any, dels quals necessiten ingressar a la Unitat d’Ictus més de 600 pacients. Un 70 % d’aquests pacients són autònoms al cap de tres mesos. Els fàrmacs recanalitzadors són els que han mostrat ser més eficaços en el tractament de l’infart cerebral en les primeres hores, i a l'Hospital Trueta s'administren de forma habitual. Aquest tractament consisteix en l’intent de dissolució o extracció del trombe que ha clos l’artèria i que dificulta la correcta circulació cerebral. El tractament es pot realitzar als pacients en qui no té contraindicació i que arriben als centres hospitalaris dins les primeres 3-6 hores següents a l’inici dels símptomes de l’ictus; en casos seleccionats, fins a les 9-24 hores posteriors. El subministrament d’aquest tractament permet que en el 51 % dels casos els pacients siguin asimptomàtics al cap de 3 mesos d’haver patit l’infart cerebral. És molt important insistir que, com més aviat aconsegueixi arribar el pacient a l'Hospital, més gran és la probabilitat que pugui ser tractat i que pugui recuperar-se.

La sala de radiologia intervencionista durant la realització d'una trombectomia mecànica a un pacient que havia patit un ictus isquèmic.

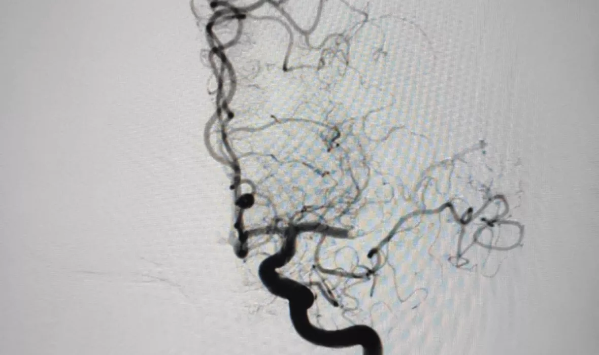
En aquestes dues imatges, podem veure com queda afectada la circulació arterial arran d'un ictis isquèmic i com es recupera després del tractament endovascular.

Imatges dels actes dels professionals del servei de Neurologia realitzant ecografies de doppler i donant consells de salut, avui al vestíbul del Trueta.

  

Image
Image
Image
Image
Image
Image
Image
Hospital Trueta