Vés al contingut

Cerca a l'ICS Girona

Hospital Trueta

 

El proper divendres 10 de juliol a les 14h a l'entrada principal de l'Hospital Trueta, l'Orquestra de Girona oferirà música en directe per als professionals sanitaris i pacients ingressats al centre, com a mostra d'agraïment a la feina i l'esforç que s'està fent pel coronavirus. Televisió de Girona col·laborarà en la retransmissió en directe del concert.

Image

Gràcies a la Fundació Daniel Bravo, el candidat escollit podrà accedir a un contracte com a metgessa o metge adjunt del Servei de Cardiologia durant els dos anys que duri la formació

Es tracta d’una iniciativa pionera a l’Estat espanyol ja que, de manera excepcional, combina una formació teòrica i pràctica del més alt nivell amb una feina remunerada a jornada completa

L’Hospital Universitari de Girona Doctor Josep Trueta, amb el suport econòmic de la Fundació Privada Daniel Bravo Andreu, obre la convocatòria de la 1a edició del Fellowship en tècniques d’imatge cardíaca avançades. Aquest Fellowship s’adreça a llicenciats en Medicina, amb títol d'especialista en Cardiologia, que vulguin fer una formació avançada en tècniques d’imatge cardíaca durant dos anys i compatibilitzar-la amb un contracte laboral al mateix Hospital.

Es tracta d'un programa innovador i únic que no tan sols representa un salt qualitatiu en la formació en tècniques d'imatge cardíaca a tot l’Estat, sinó que ofereix una oportunitat laboral excepcional. I és que, gràcies a la Fundació Privada Daniel Bravo Andreu, aquesta 1a edició del Fellowship en tècniques d'imatge cardíaca avançades està vinculada a un contracte de facultativa o facultatiu adjunt a jornada completa al Servei de Cardiologia durant els dos anys que duri el període formatiu.

Aquest Fellowship, codirigit per Ramon Brugada, cap del Servei de Cardiologia, i Sergi Moral, responsable de la Unitat d'Imatge Cardíaca Avançada, proposa una formació teòrica i pràctica reglada i avalada per la Universitat de Girona. També inclou el desenvolupament d’un projecte de recerca vinculat a alguna de les línies d’investigació establertes dins la Unitat. Amb aquest plantejament integrat es pretén iniciar un procés d'estandardització en la formació en tècniques d'imatge cardíaca avançades perquè sigui equiparable a la d’altres programes formatius internacionals.

L’objectiu final és que el professional adquireixi un coneixement i una pràctica avançada de totes les tècniques d'imatge cardíaca que hi ha, que aprengui el funcionament i la gestió d'una unitat d'imatge cardíaca avançada, que participi en les sessions docents del Servei de Cardiologia, que sàpiga supervisar estudis d'altres metges i tècnics, que tingui la capacitat d'anàlisi crítica dels articles publicats en la literatura mèdica i que sigui capaç de dur a terme futurs projectes d'investigació.

Els candidats que vulguin optar a la plaça convocada tenen temps de presentar la seva sol·licitud fins al dia 7 de juny (https://www.fundacioudg.org/es/fellowship-tecnicas-imagen-cardiaca-avanzadas.html). La setmana del 22 al 28 de juny, l’Hospital donarà a conèixer el nom de la persona escollida per cursar el Fellowship, que s’iniciarà oficialment el dia 15 de juliol de 2020.

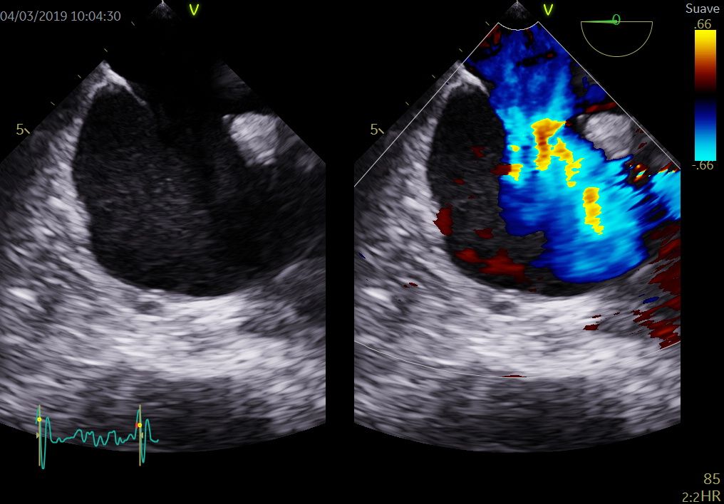
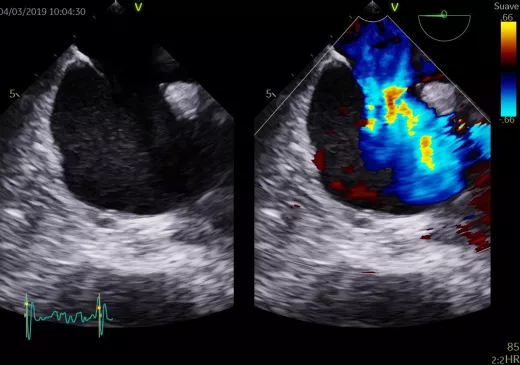
La Unitat d'Imatge Cardíaca Avançada

La Unitat d'Imatge Cardíaca Avançada és una àrea assistencial del Servei de Cardiologia altament especialitzada en els estudis del cor mitjançant tècniques no invasives. És una Unitat que s'ha potenciat enormement aquest any 2020 gràcies a la col·laboració de la Fundació Privada Daniel Bravo Andreu, que ha volgut acompanyar l'Hospital Trueta en el desenvolupament d’una àrea clau per a la cardiologia com és el diagnòstic per la imatge.

La Unitat, dotada amb la tecnologia més capdavantera, disposa de deu gabinets de proves, una àrea de recuperació i observació de pacients, i dues àrees de treball per fer la valoració dels estudis del cor.

La Unitat ofereix una carta de serveis d'imatge cardiovascular de màxim nivell, que dona cobertura a tots els pacients adults i pediàtrics amb patologia cardíaca de la Regió Sanitària Girona. L'oferta assistencial inclou estudis d’ecocardiografia transtoràcica i transesofàgica en 2D, 3D i 4D, així com ecocardiografia d'estrès, tant farmacològic com d'esforç físic. També incorpora l'estudi i el seguiment de les cardiopaties congènites de l'adult i de l'infant.

Actualment, la Unitat compta amb un equip de cardiòlegs i pediatres especialitzats en cardiologia pediàtrica que assumeixen els estudis de cor d'adults i d’infants, tant a l'Hospital Trueta com a l'Hospital de Santa Caterina i a l'Hospital d'Olot. També disposa d'un equip d'infermeria especialitzada en imatge cardíaca avançada i de tècnics auxiliars d'infermeria amb una àmplia experiència en l'atenció del pacient cardiològic. Aquest treball multidisciplinari permet un abordatge integral del pacient, així com un millor treball en equip per a la valoració conjunta dels casos.

La Unitat està acreditada per la Societat Europea de Cardiologia com a laboratori avançat en la realització d'ecocardiografia transtoràcica, transesofàgica i d'estrès.

Image
Image
Image
Image
En aquest temps la màquina ha efectuat més de 5.200 sessions, adequades a la malaltia cutània de cada usuari

Aquest febrer fa dos anys de la posada en funcionament a l’Hospital Universitari de Girona Dr. Josep Trueta de la cabina de fototeràpia d’última generació, per al  tractament de diferents malalties de la pell. En aquest temps, 240 pacients han estat tractats en aquest aparell que emet radiacions ultraviolades de diferents tipus i intensitats a través de diverses làmpades de dos metres d’alçada, que permeten una irradiació homogènia de tot el cos amb un sistema monitorat en tot moment des d’un ordinador controlat per una infermera del Servei de Dermatologia.

En total s’han realitzat de 5.246 tractaments, cosa que representa una mitjana de 22 sessions per cada pacient. Es tracta de l’aparell de fototeràpia més evolucionat de la regió sanitària, que es destina al tractament de diverses malalties cutànies que tenen en comú un origen inflamatori, autoimmunitari o tumoral. Està especialment indicat en les formes extenses de malalties freqüents, com la psoriasi o l’èczema atòpic. Però també s’hi tracten pacients amb moltes altres afectacions de la pell, ja que el tractament s’adequa a les necessitats de cada usuari. Els més freqüents són les persones amb psoriasi, una malaltia que afecta el 2 % del total de la població.

La teràpia s’administra amb el pacient dempeus dins la cabina, en dues o tres sessions setmanals, fins a arribar a una trentena de sessions per completar el tractament. La més utilitzada és la radiació ultraviolada B de banda estreta, i cada sessió dura entre un i tres minuts. La radiació amb raigs ultraviolats A es pot combinar amb l’administració oral d’un fàrmac fotosensibilitzant per augmentar l’eficàcia del tractament. En aquests casos, les sessions són més llargues i poden arribar fins als 20 minuts de durada.

Tots els tractaments a la cabina de fototeràpia, ubicada a l’Hospital de Dia del Trueta, es fan sota la supervisió d’una infermera i amb controls periòdics per part dels dermatòlegs. Als pacients, se’ls faciliten unes ulleres especials per evitar que la radiació ultraviolada els afecti la vista.

Image
Image
Avui s’ha donat el tret de sortida a la col·laboració entre les dues entitats amb un concert a l’UCI i un altre a la Unitat Coronària Aquests primers concerts, el d’avui i el del proper 6 de febrer, s’emmarquen dins l’acord de col·laboració signat entre la Fundació Antigues Caixes Catalanes i BBVA amb Música en Vena per portar 14 concerts de música en directe a diversos hospitals de Catalunya

Humanitzar les estades hospitalàries a través de la música en directe per a pacients, familiars i professionals. Aquest és l’objectiu de l’acord de col·laboració entre l’Hospital Universitari de Girona Dr. Josep Trueta i l’associació Música en Vena, una entitat sense ànim de lucre que fomenta l’ús de la música amb finalitats terapèutiques. Estudis recents, liderats per Música en Vena, indiquen que l'exposició freqüent a la música en directe en pacients ingressats a l'hospital redueix els estats d'ansietat i la percepció del dolor.

El projecte, del qual avui s’ha donat el tret de sortida, organitza la realització de miniconcerts a partir d’aquest gener en algun dels espais assistencials de l’Hospital. La Unitat de Cures Intensives i la Unitat Coronària han estat avui l’escenari dels dos primers concerts, a càrrec de la cantant i pianista Glòria Vila Aymerich, dirigits principalment a pacients i familiars (encara que també poden gaudir-ne els professionals del centre). Glòria Vila Aymerich, amb formació clàssica de piano i violí, treballa actualment com a professora de piano i llenguatge musical. Les seves cançons tracten sobre les persones i les experiències que l’han marcat al llarg de la vida.

La propera actuació serà el 6 de febrer. Els propers concerts que es programaran seran també a càrrec de músics voluntaris, que interpreten diferents gèneres musicals i s’adapten a les necessitats específiques de cada entorn.

La col·laboració amb Música en Vena ha estat possible gràcies al conveni marc que l’entitat va signar el 2017 amb l’Institut Català de la Salut, que significava l’inici de la seva expansió a Catalunya després de 5 anys d’experiència a hospitals de Madrid. Aquesta iniciativa és possible gràcies a la implicació de la Fundació Antigues Caixes Catalanes que, amb el suport de BBVA, porta a terme diversos projectes culturals arreu de Catalunya.

Música en Vena és una associació sense ànim de lucre que promou, des de fa diversos anys, la música en directe als hospitals. Ha intervingut en més de 20 hospitals, principalment de la Comunitat de Madrid i Catalunya, treballant amb tota mena de músics, formacions instrumentals i gèneres. També participa en projectes de recerca per demostrar, des del punt de vista clínic, l’impacte positiu de la música en directe per a determinats tipus de pacients.

Image
Image
Image
Image
Image
Image
Image
Image
Coincidint amb la celebració del Dia Internacional del Nen Prematur, el 17 de novembre, el Trueta va ser ahir l’escenari de diverses activitats organitzades per l’Associació de Prematurs de Girona

L’Hospital Universitari de Girona Doctor Josep Trueta és el centre de referència de la Regió Sanitària Girona pel que fa a parts de risc i nadons de baix pes o amb problemàtiques de complexitat. L’any passat van ingressar a la Unitat de Neonatologia un total de 337 nadons, dels quals el 50 % ho van fer a la Unitat de Cures Intensives Neonatals (UCIN), la majoria d’ells per prematuritat. D’aquests, 51 nadons van ser prematurs extrems; és a dir, van tenir un pes inferior als 1.500 grams en néixer.

Malgrat que el nombre d’ingressos a la Unitat de Neonatologia del Trueta s’ha anat reduint en els darrers anys, d’acord amb la davallada de la natalitat, el nombre d’ingressos de nadons amb un pes inferior als 1.500 grams en néixer es va mantenint de manera estable. Aquest fet avala la consolidació del Trueta com a centre de referència perinatal.

Millorant la supervivència

El gran esforç que fa l’equip de Neonatologia per millorar la cura i la seguretat  dels pacients contribueix que la taxa de supervivència sigui cada vegada millor. Malgrat que la major taxa de mortalitat es produeix en nadons amb major prematuritat, la tendència dels darrers anys al Trueta és que sigui cada vegada menor: el 2018, la mortalitat en grans prematurs va ser del 7,8 %.

Des de la Unitat de Neonatologia del Trueta s’està impulsant un model assistencial que promou la visió holística de l’infant i la seva família, el treball en equip, la individualització de les cures i la inclusió de la família, el treball en xarxa i la continuïtat assistencial a l’alta.

Durant el 2018 es va potenciar el Programa d’atenció domiciliària, en el qual es van incloure 29 nadons. Aquest programa pretén incrementar les competències de les famílies en la cura dels seus fills. En determinats casos, s’avança el trasllat del nadó al seu domicili perquè pugui ser cuidat directament pels seus pares durant les 24 hores del dia, amb l’assessorament i les visites periòdiques d’una infermera. En la major part dels casos, una metgessa neonatòloga s’encarrega de donar l’alta a l’infant al mateix domicili.

A la Unitat també tenen implantada una consulta de seguiment dels nadons de risc, que té dos objectius: d’una banda, prevenir i detectar problemes que puguin sorgir durant el desenvolupament de la criatura i reforçar la seguretat de les famílies i, de l’altra, recollir informació sobre l’evolució postnatal dels nadons de risc. Aquest seguiment es fa durant els tres primers anys de vida de l’infant. Durant el 2018, aquesta consulta va realitzar 103 primeres visites i 244 visites successives. 

L’acompanyament a les famílies

La família del nadó és, per a l’equip del Trueta, una peça molt important. És per aquest motiu que es vetlla per la seva atenció psicològica i que s’han posat en marxa alguns programes per facilitar la situació familiar durant l’hospitalització.

Aquest és el cas del Projecte Germans, que té com a objectiu que els germans dels nadons ingressats a la UCIN puguin conèixer els seus germans petits. Així, abans de la primera coneixença dels germans, es fa un taller, conduït per la infermera i la psicòloga de la Unitat i amb el suport dels pallassos d’Hospital. En aquest taller simbòlic s’explica a l’infant la situació en què veurà el seu germà o germana: que estarà en una incubadora, que portarà un sonda nasogàstrica per poder alimentar-se o que els pares li faran el mètode cangur. Aquests tallers són un espai d’acompanyament emocional per a les famílies, que les ajuda a integrar el moment de l’hospitalització i reduir l’estrès que comporta aquesta vivència a cadascun dels seus membres.

L’Hospital Trueta disposa fa anys d’un servei de suport psicològic a les famílies de nounats ingressats a la UCIN, ja sigui per haver nascut prematurs, haver patit una asfíxia en el moment del part, haver nascut amb alguna malformació o bé presentar qualsevol altra complicació o patologia a l’inici de la vida.

Durant el 2018, han rebut suport psicològic de manera continuada un total de 73 famílies amb nadons ingressats a la UCIN, en la majoria dels casos, per ser prematurs o molt prematurs. La psicòloga acompanya els pares en totes les situacions que comporta la prematuritat: la incertesa de la supervivència, la preocupació per les possibles lesions o seqüeles en el seu desenvolupament, possibles intervencions quirúrgiques...

Moltes d’aquestes famílies també han participat en el grup de suport, que es fa un dia a la setmana conduït per la psicòloga, en el qual pares i mares de nadons ingressats comparteixen emocions, dubtes o, simplement, busquen comprensió.  

Durant el 2018 també s’ha incorporat el treballador social a l’equip de Neonatologia de manera estable. Aquest fet permet ser molt més efectius a l’hora de detectar situacions familiars susceptibles d’atenció social. Durant el 2018, el treballador social ha atès 149 famílies, en la major part de casos pel risc associat a la prematuritat i a la situació d’ingrés prolongat (cal tenir present que a la UCIN els ingressos es poden allargar fins a 3 i 4 mesos).

Dia Internacional del Nen Prematur: 17 de novembre

Coincidint amb la celebració del Dia Internacional del Nen Prematur, ahir l’Hospital Trueta va ser l’escenari dels actes de commemoració organitzats per l’Associació de Prematurs de Girona, en col·laboració amb el servei de Neonatologia de l’Hospital. La Jornada va començar amb una sessió de zumba kids, amb diverses activitats d’animació, com ara tallers de maquillatge, de globus i una sessió de fotoreclam (photocall). També es va fer una xocolatada i es van poder escoltar narracions de contes, així com una xerrada a càrrec de la neonatòloga Esther Jiménez. L’acte va acabar amb un concert a càrrec del grup  L’Empordanet i amb un llançament de globus liles, el color que identifica la prematuritat.

Image
Image
Image
Image