Vés al contingut

Cerca a l'ICS Girona

Ictus

Aquest tractament permetrà l’accés a la trombectomia mecànica a uns 130 pacients cada any

Els serveis de Neurologia, Radiologia i Anestesiologia de l’Hospital Universitari Dr. Josep Trueta han ampliat, des de l’1 d’octubre, l’horari d’atenció a pacients que han patit un ictus isquèmic agut amb oclusió arterial de gran vas per un trombe amb tractaments de teràpia endovascular (trombectomies mecàniques).

L’horari ha passat de 12 h diàries, cada dia de l’any, a donar una cobertura de 24 h els 365 dies de l’any.

Aquest procediment consisteix en la introducció d’un catèter en una artèria del pacient per arribar fins al coàgul que l’obstrueix –i que ha produït l’ictus– i poder-lo extreure i ha demostrat ser la tècnica més eficaç en el tractament de l’infart cerebral. Aquesta teràpia endovascular es va començar a fer de manera puntual l’octubre de 2018, però va ser a partir del 29 de setembre de 2019 que es va iniciar de manera continuada i en un horari fix. El 21 de març de 2020, just en plena pandèmia, es va decidir ampliar l’horari als caps de setmana i festius per evitar traslladar fora de la Regió Sanitària de Girona els pacients que requerien una trombectomia mecànica dins d’aquest horari. Ara, s’ha fet un pas més i s’ha ampliat del tot la guàrdia de radiologia intervencionista de manera que no caldrà derivar cap pacient per ser tractat fora de la Regió Sanitària.

Des que es van començar a fer trombectomies al Trueta, s’han realitzat 192 procediments. D’aquests, en el 81,3% dels casos s’ha aconseguit una recanalització arterial cerebral i s’ha pogut extreure el trombe que ocloïa el vas. Aquest any 2021, en el 48% dels casos, els pacients eren autònoms al cap de tres mesos de l’ictus. Aquest tractament es realitza en una sala equipada amb tecnologia específica: la sala d’intervencionisme.

Actualment, el Trueta compta amb tres metges especialitzats en el tractament endovascular de l’ictus isquèmic. La realització d’aquests procediments va a càrrec d’equips formats per dos professionals de Neurologia i un de Radiologia especialitzats, amb la col·laboració del servei d’Anestesiologia i de professionals d’Infermeria especialitzada del Servei de Radiodiagnòstic, amb formació específica i coordinats pels neuròlegs de la Unitat d’Ictus.

L’ampliació de la carta de serveis amb l’assoliment d’aquest tipus de procediments fa que el Trueta, el centre de referència d’ictus a la Regió Sanitària de Girona, pugui assumir actualment qualsevol patologia isquèmica cerebral a qualsevol hora pels ciutadans de la Regió i pels visitants. Amb aquesta acció el Trueta es converteix en ser el primer centre de Catalunya de fora de Barcelona i la seva àrea metropolitana en oferir aquesta prestació tots els dies i hores de l'any. Això és gràcies al treball coordinat d’un equip multidisciplinari liderat pel Servei de Neurologia que fa possible l’accés a les teràpies endovasculars de l’ictus en la fase aguda en el nostre territori.

 

Image
Image

La disfàgia és la dificultat per empassar aliments degut a un trastorn del pas en algun punt situat entre la boca i l'estómac. Aquest problema de salut afecta sovint els pacients que han patit un ictus. Per ajudar a millorar el procés de rehabilitació d’aquests pacients, l’Associació Ictus Girona ha fet donació al Servei de Neurologia de l’Hospital Josep Trueta d’un equip portàtil d’estimulació elèctrica neuromuscular.

Es tracta d’un sistema que ajuda a activar i reeducar els músculs que actuen en el procés de deglució. D’aquesta manera, a través d’un tractament d’electroteràpia, els pacients poden enfortir i rehabilitar els músculs afectats. La tecnologia que incorpora aquest equip també permet als logopedes guiar els pacients mitjançant exercicis de deglució individualitzats i dirigits. A més, ofereix la possibilitat d’avaluar la funció i els patrons de deglució de cada persona.

La donació d’aquest aparell ha estat possible gràcies als diners recaptats en la 1a edició de la cursa solidària Corre per l’Ictus, organitzada el novembre de 2019 per l’Associació Ictus Girona en col·laboració amb la Unitat d’Ictus del Servei de Neurologia del Trueta.

Image
Image
El 50% dels pacients a qui s’ha fet una teràpia endovascular s’han recuperat sense seqüeles greus Demà, 29 d’octubre, se celebra el Dia Mundial de l’Ictus, una malaltia que pateixen 1.700 gironins cada any

Aquest mes d’octubre, els serveis de Neurologia, Radiologia i Anestesiologia de l’Hospital Universitari Dr. Josep Trueta han realitzat la trombectomia mecànica número 100 en pacients que han patit ictus isquèmic agut amb oclusió arterial de gran vas per un trombe. Aquest procediment consisteix en la introducció d’un catèter en una artèria del pacient per arribar fins al coàgul que l’obstrueix –i que ha produït l’ictus– i poder-lo extreure.

Aquest tipus de teràpia endovascular es va iniciar de manera puntual l’octubre de 2018, però va ser a partir del 29 de setembre de 2019 que es va començar a fer de manera continuada i en un horari fix. El 21 de març passat, just en plena pandèmia de la COVID-19, es va ampliar l’horari d’atenció d’aquest tipus d’urgències al Trueta, que va passar a ser de 12 h diàries en dies laborables –de 8 a 20 h– els 365 dies a l’any, amb l’objectiu de reduir els trasllats fora de la Regió Sanitària Girona i el temps d’accés al tractament de reperfusió.  Si es produeix algun cas fora d’aquest horari, el pacient es continua derivant a l’Hospital Universitari Germans Trias i Pujol de Badalona.

Aquest mes d’octubre s’ha arribat al tractament endovascular de l’ictus isquèmic agut número cent, amb uns resultats molt bons i d’acord amb els indicadors de qualitat establerts pel Pla director de malalties cerebrovasculars i el CatSalut, ja que s'ha aconseguit recuperar un de cada dos pacients tractats que patien un ictus molt greu. Aquests procediments es fan en una sala equipada amb tecnologia específica: la sala d’intervencionisme. En el 85% dels 103 casos realitzats fins ara, s’ha aconseguit una recanalització arterial cerebral i s’ha pogut extreure el trombe que ocloïa el vas, recuperant així la perfusió cerebral.

Actualment, el Trueta compta amb dos metges especialitzats en el tractament endovascular de l’ictus isquèmic i fa uns mesos s’ha començat la formació d’un tercer neurointervencionista. La realització d’aquests procediments va a càrrec d’equips formats per un professional de neurologia i un de radiologia especialitzats, amb la col·laboració del Servei d’Anestesiologia i de professionals d’infermeria especialitzada, amb formació específica i tots coordinats pels neuròlegs de la Unitat d’Ictus.

L’ampliació de la carta de serveis amb l’assoliment d’aquest tipus de procediments fa que el Trueta, el centre de referència d’ictus a la Regió Sanitària Girona, pugui assumir actualment qualsevol patologia isquèmica cerebral.  Això és gràcies al treball coordinat d’un equip multidisciplinari, liderat pel Servei de Neurologia, que fa possible l’accés a les teràpies endovasculars de l’ictus en la fase aguda en el nostre territori.

Justament en aquest moment, l’Hospital Trueta està fent obres a la planta 7a B, l’Àrea de Neurociències, per ubicar-hi la Unitat d’Ictus –que es dotarà d’equipament d’última generació. Es tracta d’una reforma integral, en què es faran habitacions individuals amb bany i dutxa, amb grues per a la mobilització de pacients, càmeres de videovigilància per monitorar els pacients, accessoris per rehabilitació in situ a les habitacions, butaques automàtiques, zona de control d’infermeria amb monitoratge centralitzat, àrea de treball... Es faran 6 habitacions que es destinaran a pacients amb ictus i 2 per a pacients de neurocirurgia que requereixin monitorització. Aquests treballs tenen un cost de més de 775.000 euros entre obra i equipament, i està previst que acabin a finals d’any.  

29 d’octubre, Dia Mundial de l’Ictus

El 29 d’octubre és el Dia Mundial de l’Ictus i, després de vuit anys consecutius realitzant ecografies-Doppler a la ciutadania per comprovar l’estat de les artèries de tothom qui ho volgués, aquest any el Trueta no pot fer l’activitat d’acord amb les recomanacions de la pandèmia de la COVID-19.

Es calcula que una de cada sis persones patirà un ictus al llarg de la seva vida. Cada any, 1.700 gironins pateixen un infart cerebral, i només el 50 % arriben a l’Hospital dins les primeres sis hores des de l’inici de l’afectació. Els signes que ens han de fer pensar en un probable ictus i demanar ajuda sanitària immediatament (trucant al 061) són la pèrdua de força o de sensibilitat de manera sobtada a la cara, un braç i/o una cama d’un costat del cos; la pèrdua sobtada de visió d’un ull; la dificultat per parlar o entendre, i un intens i sobtat mal de cap.

Segons dades de l’Organització Mundial de la Salut, la malaltia cerebrovascular representa la segona causa de mort i la primera d’invalidesa en els adults dels països occidentals. A l’Estat espanyol és la primera causa de mortalitat entre les dones i representa el principal motiu d’incapacitat, ja que la majoria de pacients pateix seqüeles que, en el 40 % dels casos, els inhabiliten per fer les seves activitats quotidianes. Cal tenir present que un de cada sis ictus ocorren en persones joves. Des dels punts de vista sanitari i econòmic, l’ictus és una afectació de primera magnitud. Representa el 70 % del total d’ingressos de caràcter neurològic i suposa al voltant d’un 5 % de la despesa sanitària. No obstant això, hi ha dades esperançadores, ja que en els darrers anys la mortalitat ha disminuït gràcies als treballs de prevenció i detecció precoç, així com a les millores en l'atenció hospitalària als pacients en les unitats d'ictus i al desenvolupament de tractaments aplicats durant les primeres hores, com la trombòlisi i els nous procediments d'extracció de trombes.

L’Hospital Trueta és el centre de referència pel que fa al tractament de l'ictus a la Regió Sanitària Girona. El Servei de Neurologia atén més de 1.300 ictus cada any, dels quals necessiten ingressar a la Unitat d’Ictus més de 600 pacients. Un 70 % d’aquests pacients són autònoms al cap de tres mesos. Els fàrmacs recanalitzadors són els que han demostrat ser més eficaços en el tractament de l’infart cerebral en les primeres hores, i a l'Hospital Trueta s'administren de forma habitual. Aquest tractament consisteix en l’intent de dissolució o extracció del trombe que ha clos l’artèria i que dificulta la correcta circulació cerebral. El tractament es pot realitzar als pacients en qui no té contraindicació i que arriben als centres hospitalaris dins les primeres 3 – 6 hores següents a l’inici dels símptomes de l’ictus; en casos seleccionats, fins a les 9-24 hores posteriors. El subministrament d’aquest tractament permet que en el 51 % dels casos els pacients siguin asimptomàtics al cap de 3 mesos d’haver patit l’infart cerebral. És molt important insistir que, com més aviat el pacient aconsegueixi arribar a l'Hospital, més gran és la probabilitat que pugui ser tractat i que pugui recuperar-se.

Per què és important actuar ràpid davant dels primers símptomes de l'Ictus?

La prevenció de l'Ictus

Una de cada quatre persones patirà un Ictus al llarg de la seva vida

Els senyals d'alarma de l'Ictus

Image
Image
L’ampliació horària es va fer a l’inici de la pandèmia per evitar el trasllat de pacients fora de la Regió Sanitària

Els serveis de Neurologia, Radiologia (a càrrec de l'IDI) i Anestesiologia de l’Hospital Universitari de Girona Dr. Josep Trueta han ampliat l’horari d’atenció a pacients que han patit un ictus isquèmic agut amb oclusió arterial de gran vas per un trombe i amb tractaments de teràpia endovascular (trombectomies mecàniques), que ha passat de 12 h diàries els dies laborals (de 8 h a 20 h) a 12 h, els 365 dies de l’any. El procediment consisteix en la introducció d’un catèter en una artèria del pacient per arribar fins al coàgul que l’obstrueix –i que ha produït l’ictus– i poder-lo extreure. El procediment es va començar a fer de manera puntual l’octubre de 2018, però va ser a partir del 29 de setembre de 2019 que es va iniciar de manera continuada i en un horari fix. El 21 de març passat, just a plena pandèmia, es va decidir ampliar l’horari als caps de setmana i festius per evitar traslladar fora de la Regió Sanitària de Girona els pacients que requerien una trombectomia mecànica dins d’aquest horari. Si es produeix algun cas fora d’aquest horari, el pacient haurà de continuar essent derivat a l’Hospital Universitari Germans Trias i Pujol de Badalona.

Des que es va ampliar l’horari, el 21 de març, s’han fet 14 trombectomies, 7 de les quals han estat durant l’abril, el mes que ha acumulat més casos fins ara. Abans de l’ampliació horària s’havien fet 11 trombectomies durant aquest 2020 (des de l’1 de gener fins al 20 de març), 39 durant tot el 2019 i 8 durant el 2018. Aquests procediments es fan en una sala equipada amb tecnologia específica: la sala d’intervencionisme. En el 85 % dels 72 casos que s’han atès s’ha aconseguit una recanalització arterial cerebral i s’ha pogut extreure el trombe que ocloïa el vas.

Actualment, el Trueta compta amb dos metges especialitzats en el tractament endovascular de l’ictus isquèmic. La realització d’aquests procediments va a càrrec d’equips formats per un professional de Neurologia i un de Radiologia especialitzats, amb la col·laboració del Servei d’Anestesiologia i de professionals d’Infermeria especialitzada del Servei de Radiodiagnòstic, amb formació especifica i coordinats pels neuròlegs de la Unitat d’Ictus. El Servei de Neurologia de l’Hospital Trueta està treballant per acabar d’ampliar l’horari de l’accés a la trombectomia mecànica de l’ictus les 24 h/dia, els 365 dies/any, tan aviat com es disposi dels recursos humans necessaris i que aquests tinguin la formació per dur a terme aquest tipus d’intervencions. Així, aquest mes s’ha començat a formar una neuròloga més de l’equip per a completar l’Equip de Neurointervencionisme.

Seguint amb el desplegament del Pla estratègic de neurointervencionisme de Girona, enguany s’iniciarà la realització de procediments de més alta complexitat en pacients no urgents a l’Hospital Trueta, en col·laboració amb professionals de l’Hospital Germans Trías i Pujol, per tal d’evitar el desplaçament de pacients gironins a Barcelona.

L’ampliació de la carta de serveis amb l’assoliment d’aquest tipus de procediments fa que el Trueta, el centre de referència d’ictus a la Regió Sanitària de Girona, pugui assumir actualment qualsevol patologia isquèmica cerebral.  Això és gràcies al treball coordinat d’un equip multidisciplinari, liderat pel Servei de Neurologia, que fa possible l’accés a les teràpies endovasculars de l’ictus en la fase aguda en el nostre territori.

Image
Image
Image
Image

Des d’aquest mes es realitzen trombectomies mecàniques de manera regular, tot i que fa un any que es van començar a fer

Aquest any se n’han fet 36, amb uns resultats molt satisfactoris

Professionals dels serveis de Neurologia i de Radiologia de l’Hospital Universitari Dr. Josep Trueta han començat a fer de manera regular tractaments amb teràpia endovascular (trombectomies mecàniques) a pacients que han patit un ictus isquèmic agut amb oclusió arterial de gran vas per un trombe. Aquest procediment consisteix en la introducció d’un catèter en una artèria del pacient per arribar fins al coàgul que l’obstrueix –i que ha produït l’ictus– i poder-lo extreure. Malgrat que aquest procediment es va començar a fer de manera puntual l’octubre de l’any passat, des d’aquest mes el procediment es fa de manera continuada, en horari de 8 a 20 h de dilluns a divendres. Si es produeix algun cas fora d’aquest horari, el pacient haurà de continuar essent derivat a algun centre de Barcelona, tal i com es feia amb tots els casos que hi havia fins que es va iniciar l’activitat al Trueta.

Aquests procediments es fan en una sala equipada amb tecnologia específica: la sala de radiologia intervencionista. Des del 3 d’octubre de 2018, dia en què es va atendre el primer cas al Trueta, que era també el primer pacient tractat amb teràpia endovascular fora de la demarcació de Barcelona, han entrat a la sala de radiologia intervencionista un total de 41 pacients, dels quals a 37 se’ls ha fet una trombectomia mecànica. En el 86 % dels casos s’ha aconseguit una recanalització arterial i s’ha pogut extreure el trombe que ocloïa el vas. El 29 de setembre passat es va estrenar el nou horari del servei, 12 hores diàries de dilluns a divendres, cosa que converteix el Trueta en l’Hospital de fora de l’àrea metropolitana de Barcelona amb un horari de cobertura més gran.

L’ampliació de la carta de serveis amb l’assoliment d’aquest tipus de procediments fa que el Trueta, el centre de referència d’ictus a la Regió Sanitària Girona, pugui assumir actualment qualsevol patologia isquèmica cerebral. S’estima que, amb aquesta ampliació horària, es realitzaran uns 70-80 tractaments amb teràpia endovascular a l’any, i que uns 50 casos hauran de continuar sent derivats a Barcelona, atès que han succeït de 20 h a 8 h o en cap de setmana.

Comparat amb la resta de centres que realitzen aquest tractament endovascular de l’ictus isquèmic agut, durant l’any 2019 el Trueta és l’Hospital de Catalunya amb els millors resultats pel que fa al temps transcorregut entre la punció i la recanalització arterial; és a dir, el temps transcorregut entre l’inici del tractament i l’extracció efectiva del trombe. Així, al Trueta aquest procediment tarda una mitjana de 37 minuts, mentre que la mitjana de Catalunya és de 50 minuts. A més a més, l’accés a aquesta teràpia des de l’inici dels símptomes és de 169 minuts, per sota de la mitjana de Catalunya que és de 190 minuts.

Per a l’inici d’aquest procediment ha estat clau la incorporació de la realització d’arteriografies cerebrals al Trueta, a finals de 2017, que va obrir la porta a la possibilitat de poder fer neurointervencionisme. També ha estat necessari formar professionals del Servei de Neurologia en neurointervencionisme. Actualment, el Trueta compta amb dos intervencionistes especialitats en el tractament endovascular de l’ictus isquèmic. La realització d’aquests procediments va a càrrec d’equips formats per un professional de neurologia i un de radiologia especialitzats en neurointervencionisme, amb la col·laboració del Servei d’Anestèsia i de professionals d’infermeria especialitzada del Servei de Radiodiagnòstic amb formació especifica.

Commemoració del Dia Mundial de l’Ictus

Demà, 29 d’octubre, es commemora el Dia Mundial de l’Ictus i, com és habitual en els darrers anys, professionals del Trueta han avançat a avui la celebració. Un any més, han fet formació sobre la malaltia i han realitzat ecografies de Doppler per comprovar l’estat de les artèries de tothom qui hi ha estat interessat. En total, s’han realitzat 117 proves, el resultat de les quals pot indicar un factor que predisposi a patir la malaltia. Professionals d’infermeria també han mesurat la pressió arterial i la glucèmia a qui ho ha volgut i s’han donat recomanacions de mesures preventives, com són fer exercici físic moderat, mantenir una dieta sana i equilibrada baixa en sal i greixos, i evitar de fumar.

A més, aquest any, la Unitat d’Ictus de l’Hospital en col·laboració amb l’Associació d’Ictus de Girona i l’Hospital Sociosanitari Mutuam Girona han organitzat avui tallers de ioga, d’origami, de disfàgia i del mètode Ronney Gardiner per a pacients que han patit un ictus, a més de la conferència “La Música com a eina terapèutica: el ritme per al cos i les cançons per al llenguatge. Experiències d'una Unitat Neurològica Integral", a càrrec de Samira González, fisioterapeuta de l’Hospital Sociosanitari Mutuam Girona.

L’ictus, segona causa de mort i primera d’invalidesa

Es calcula que una de cada sis persones patirà un ictus al llarg de la seva vida. Cada any, 1.700 gironins pateixen un infart cerebral, i només el 50 % arriben a l’Hospital dins les primeres sis hores des de l’inici de l’afectació. Els signes que ens han de fer pensar en un probable ictus i demanar ajuda sanitària immediatament (trucant al 061) són la pèrdua de força o de sensibilitat de manera sobtada a la cara, un braç i/o una cama d’un costat del cos; la pèrdua sobtada de visió d’un ull; la dificultat per parlar o entendre, i un intens i sobtat mal de cap.

Segons dades de l’Organització Mundial de la Salut, la malaltia cerebrovascular representa la segona causa de mort i la primera d’invalidesa en els adults dels països occidentals. A l’Estat espanyol és la primera causa de mortalitat entre les dones i representa el principal motiu d’incapacitat, ja que la majoria de pacients pateix seqüeles que, en el 40 % dels casos, els inhabiliten per fer les seves activitats quotidianes. Cal tenir present que un de cada sis ictus ocorren en persones joves. Des dels punts de vista sanitari i econòmic, l’ictus és una afectació de primera magnitud. Representa el 70 % del total d’ingressos de caràcter neurològic i suposa al voltant d’un 5 % de la despesa sanitària. No obstant això, hi ha dades esperançadores, ja que en els darrers anys la mortalitat ha disminuït gràcies als treballs de prevenció i detecció precoç, així com a les millores en l'atenció hospitalària als pacients en les unitats d'ictus i al desenvolupament de tractaments aplicats durant les primeres hores, com la trombòlisi i els nous procediments d'extracció de trombes.

L’Hospital Trueta és el centre de referència pel que fa al tractament de l'ictus a la Regió Sanitària Girona. El Servei de Neurologia atén més de 1.300 ictus cada any, dels quals necessiten ingressar a la Unitat d’Ictus més de 600 pacients. Un 70 % d’aquests pacients són autònoms al cap de tres mesos. Els fàrmacs recanalitzadors són els que han mostrat ser més eficaços en el tractament de l’infart cerebral en les primeres hores, i a l'Hospital Trueta s'administren de forma habitual. Aquest tractament consisteix en l’intent de dissolució o extracció del trombe que ha clos l’artèria i que dificulta la correcta circulació cerebral. El tractament es pot realitzar als pacients en qui no té contraindicació i que arriben als centres hospitalaris dins les primeres 3-6 hores següents a l’inici dels símptomes de l’ictus; en casos seleccionats, fins a les 9-24 hores posteriors. El subministrament d’aquest tractament permet que en el 51 % dels casos els pacients siguin asimptomàtics al cap de 3 mesos d’haver patit l’infart cerebral. És molt important insistir que, com més aviat aconsegueixi arribar el pacient a l'Hospital, més gran és la probabilitat que pugui ser tractat i que pugui recuperar-se.

La sala de radiologia intervencionista durant la realització d'una trombectomia mecànica a un pacient que havia patit un ictus isquèmic.

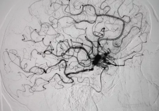
En aquestes dues imatges, podem veure com queda afectada la circulació arterial arran d'un ictis isquèmic i com es recupera després del tractament endovascular.

Imatges dels actes dels professionals del servei de Neurologia realitzant ecografies de doppler i donant consells de salut, avui al vestíbul del Trueta.

  

Image
Image
Image
Image
Image
Image
Image