Vés al contingut

Cerca a l'ICS Girona

El Trueta arriba a les cent primeres trombectomies en pacients que han patit un ictus isquèmic agut

pretractament_0.jpg
Publicat el: 28/10/2020
El 50% dels pacients a qui s’ha fet una teràpia endovascular s’han recuperat sense seqüeles greus Demà, 29 d’octubre, se celebra el Dia Mundial de l’Ictus, una malaltia que pateixen 1.700 gironins cada any

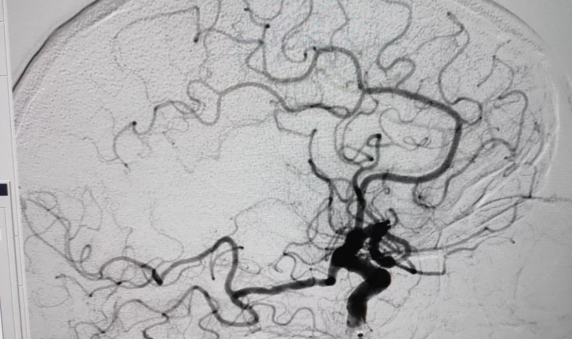
Aquest mes d’octubre, els serveis de Neurologia, Radiologia i Anestesiologia de l’Hospital Universitari Dr. Josep Trueta han realitzat la trombectomia mecànica número 100 en pacients que han patit ictus isquèmic agut amb oclusió arterial de gran vas per un trombe. Aquest procediment consisteix en la introducció d’un catèter en una artèria del pacient per arribar fins al coàgul que l’obstrueix –i que ha produït l’ictus– i poder-lo extreure.

Aquest tipus de teràpia endovascular es va iniciar de manera puntual l’octubre de 2018, però va ser a partir del 29 de setembre de 2019 que es va començar a fer de manera continuada i en un horari fix. El 21 de març passat, just en plena pandèmia de la COVID-19, es va ampliar l’horari d’atenció d’aquest tipus d’urgències al Trueta, que va passar a ser de 12 h diàries en dies laborables –de 8 a 20 h– els 365 dies a l’any, amb l’objectiu de reduir els trasllats fora de la Regió Sanitària Girona i el temps d’accés al tractament de reperfusió.  Si es produeix algun cas fora d’aquest horari, el pacient es continua derivant a l’Hospital Universitari Germans Trias i Pujol de Badalona.

Aquest mes d’octubre s’ha arribat al tractament endovascular de l’ictus isquèmic agut número cent, amb uns resultats molt bons i d’acord amb els indicadors de qualitat establerts pel Pla director de malalties cerebrovasculars i el CatSalut, ja que s'ha aconseguit recuperar un de cada dos pacients tractats que patien un ictus molt greu. Aquests procediments es fan en una sala equipada amb tecnologia específica: la sala d’intervencionisme. En el 85% dels 103 casos realitzats fins ara, s’ha aconseguit una recanalització arterial cerebral i s’ha pogut extreure el trombe que ocloïa el vas, recuperant així la perfusió cerebral.

Actualment, el Trueta compta amb dos metges especialitzats en el tractament endovascular de l’ictus isquèmic i fa uns mesos s’ha començat la formació d’un tercer neurointervencionista. La realització d’aquests procediments va a càrrec d’equips formats per un professional de neurologia i un de radiologia especialitzats, amb la col·laboració del Servei d’Anestesiologia i de professionals d’infermeria especialitzada, amb formació específica i tots coordinats pels neuròlegs de la Unitat d’Ictus.

L’ampliació de la carta de serveis amb l’assoliment d’aquest tipus de procediments fa que el Trueta, el centre de referència d’ictus a la Regió Sanitària Girona, pugui assumir actualment qualsevol patologia isquèmica cerebral.  Això és gràcies al treball coordinat d’un equip multidisciplinari, liderat pel Servei de Neurologia, que fa possible l’accés a les teràpies endovasculars de l’ictus en la fase aguda en el nostre territori.

Justament en aquest moment, l’Hospital Trueta està fent obres a la planta 7a B, l’Àrea de Neurociències, per ubicar-hi la Unitat d’Ictus –que es dotarà d’equipament d’última generació. Es tracta d’una reforma integral, en què es faran habitacions individuals amb bany i dutxa, amb grues per a la mobilització de pacients, càmeres de videovigilància per monitorar els pacients, accessoris per rehabilitació in situ a les habitacions, butaques automàtiques, zona de control d’infermeria amb monitoratge centralitzat, àrea de treball... Es faran 6 habitacions que es destinaran a pacients amb ictus i 2 per a pacients de neurocirurgia que requereixin monitorització. Aquests treballs tenen un cost de més de 775.000 euros entre obra i equipament, i està previst que acabin a finals d’any.  

29 d’octubre, Dia Mundial de l’Ictus

El 29 d’octubre és el Dia Mundial de l’Ictus i, després de vuit anys consecutius realitzant ecografies-Doppler a la ciutadania per comprovar l’estat de les artèries de tothom qui ho volgués, aquest any el Trueta no pot fer l’activitat d’acord amb les recomanacions de la pandèmia de la COVID-19.

Es calcula que una de cada sis persones patirà un ictus al llarg de la seva vida. Cada any, 1.700 gironins pateixen un infart cerebral, i només el 50 % arriben a l’Hospital dins les primeres sis hores des de l’inici de l’afectació. Els signes que ens han de fer pensar en un probable ictus i demanar ajuda sanitària immediatament (trucant al 061) són la pèrdua de força o de sensibilitat de manera sobtada a la cara, un braç i/o una cama d’un costat del cos; la pèrdua sobtada de visió d’un ull; la dificultat per parlar o entendre, i un intens i sobtat mal de cap.

Segons dades de l’Organització Mundial de la Salut, la malaltia cerebrovascular representa la segona causa de mort i la primera d’invalidesa en els adults dels països occidentals. A l’Estat espanyol és la primera causa de mortalitat entre les dones i representa el principal motiu d’incapacitat, ja que la majoria de pacients pateix seqüeles que, en el 40 % dels casos, els inhabiliten per fer les seves activitats quotidianes. Cal tenir present que un de cada sis ictus ocorren en persones joves. Des dels punts de vista sanitari i econòmic, l’ictus és una afectació de primera magnitud. Representa el 70 % del total d’ingressos de caràcter neurològic i suposa al voltant d’un 5 % de la despesa sanitària. No obstant això, hi ha dades esperançadores, ja que en els darrers anys la mortalitat ha disminuït gràcies als treballs de prevenció i detecció precoç, així com a les millores en l'atenció hospitalària als pacients en les unitats d'ictus i al desenvolupament de tractaments aplicats durant les primeres hores, com la trombòlisi i els nous procediments d'extracció de trombes.

L’Hospital Trueta és el centre de referència pel que fa al tractament de l'ictus a la Regió Sanitària Girona. El Servei de Neurologia atén més de 1.300 ictus cada any, dels quals necessiten ingressar a la Unitat d’Ictus més de 600 pacients. Un 70 % d’aquests pacients són autònoms al cap de tres mesos. Els fàrmacs recanalitzadors són els que han demostrat ser més eficaços en el tractament de l’infart cerebral en les primeres hores, i a l'Hospital Trueta s'administren de forma habitual. Aquest tractament consisteix en l’intent de dissolució o extracció del trombe que ha clos l’artèria i que dificulta la correcta circulació cerebral. El tractament es pot realitzar als pacients en qui no té contraindicació i que arriben als centres hospitalaris dins les primeres 3 – 6 hores següents a l’inici dels símptomes de l’ictus; en casos seleccionats, fins a les 9-24 hores posteriors. El subministrament d’aquest tractament permet que en el 51 % dels casos els pacients siguin asimptomàtics al cap de 3 mesos d’haver patit l’infart cerebral. És molt important insistir que, com més aviat el pacient aconsegueixi arribar a l'Hospital, més gran és la probabilitat que pugui ser tractat i que pugui recuperar-se.

Per què és important actuar ràpid davant dels primers símptomes de l'Ictus?

La prevenció de l'Ictus

Una de cada quatre persones patirà un Ictus al llarg de la seva vida

Els senyals d'alarma de l'Ictus

Image
Image
Hospital Trueta